
Dentist in Maitland, FL
Welcome to Maitland Dentistry
Welcome to Maitland Dentistry, where advanced dental care meets a modern, patient-focused experience. Led by Dr. James E. Midkiff and Dr. Eliana Grady, our practice blends clinical excellence with genuine compassion to create an elevated level of care. We take pride in offering comprehensive dentistry—from routine prevention and precision restorations to aesthetic enhancements—designed to deliver results that look beautiful, feel natural, and stand the test of time.
At Maitland Dentistry, every detail of your visit is carefully designed to ensure your comfort and confidence. Our doctors combine state-of-the-art technology with a personalized approach to help you achieve optimal oral health and a smile that reflects your best self. Whether you’re seeking lasting function, renewed aesthetics, or simply a trusted partner in your lifelong dental care, you’ll experience a standard of excellence that redefines what modern dentistry can be.
Comprehensive Dental Care for Every Smile

Teeth Whitening

Dental Implants

Root Canal

Meet Our Doctors
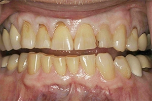
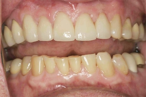
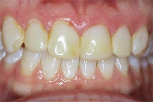
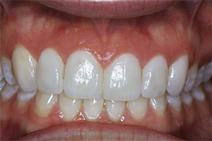
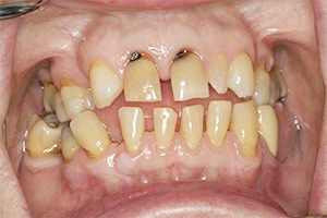
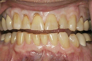
Smile Transformations









